+918042754029
Currently it only shows your basic business info. Start adding relevant business details such as description, images and products or services to gain your customers attention by using Boost 360 android app / iOS App / web portal.

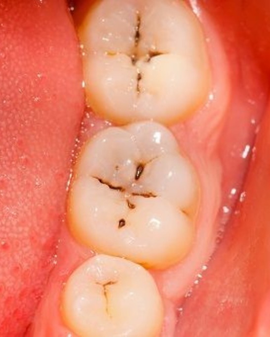
Dental cavity, also known as tooth decay or dental caries, is one of the most common oral health problems affecting both children and adults. It occurs when harmful bacteria in the mouth produce acids that gradually damage the tooth enamel due to frequent consumption of sugary foods, poor oral hygiene, and irregular dental check-ups. If left untreated, a cavity can progress deeper into the tooth, causing tooth pain, sensitivity to hot and cold foods, bad breath, and even infection. Early diagnosis is very important to prevent complications and preserve natural teeth. At Oasis Dental Care Chennai, dental cavity treatment is performed with advanced technology and painless procedures to ensure patient comfort. In the early stage, the decayed portion of the tooth is carefully removed and restored with high-quality tooth-colored fillings. If the decay has reached the inner pulp, Root Canal Treatment (RCT) is done to remove the infection and save the tooth, followed by placement of a dental crown for strength and protection. In severe cases where the tooth cannot be saved, safe tooth extraction and replacement options like dental implants or bridges are provided. If you are looking for the best dental clinic in Chennai for cavity treatment, Oasis Dental Care Chennai offers affordable dental care, experienced dentists, modern equipment, painless root canal treatment, tooth-colored fillings, and comprehensive oral health solutions. Regular dental check-ups, professional teeth cleaning, and proper oral hygiene can help prevent cavities and maintain a healthy, confident smile. #teeth_cavity #best_dental_clinic_chennai #oasis_dental_care#dental_clinic_arumbakkam