+918042754029
Currently it only shows your basic business info. Start adding relevant business details such as description, images and products or services to gain your customers attention by using Boost 360 android app / iOS App / web portal.

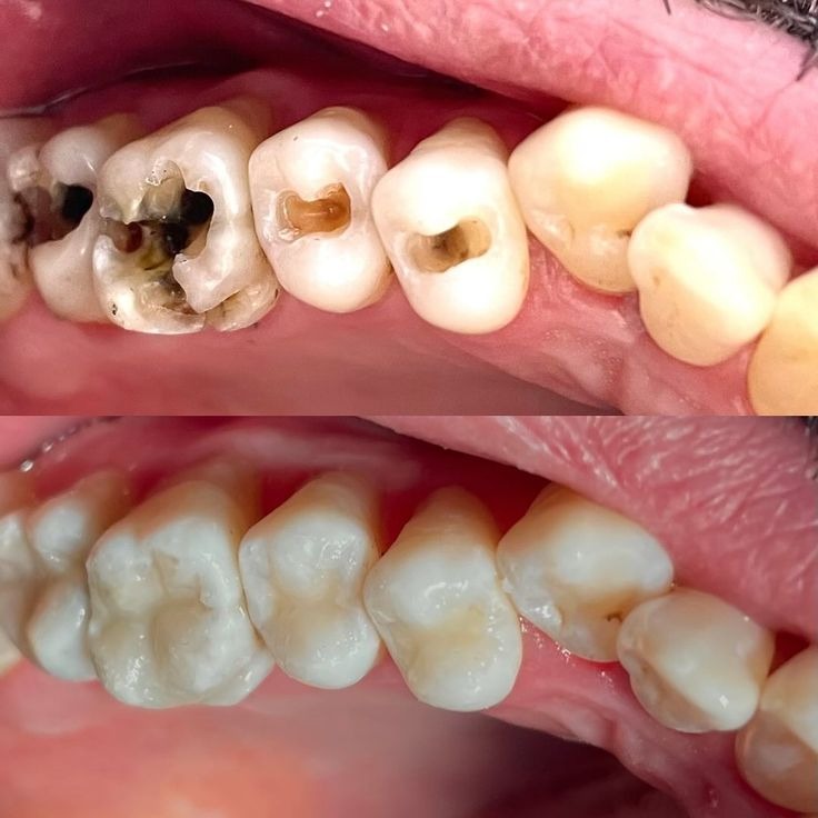
At Oasis Dental Care, Chennai, we provide advanced treatment for teeth cavities using high-quality composite tooth fillings. Cavities, if left untreated, can cause pain, sensitivity, and further tooth damage. Our expert dental surgeons in Chennai ensure painless and long-lasting tooth cavity treatment with natural-looking composite fillings that perfectly match your tooth color. This restores both function and appearance, giving you a healthy and confident smile. Choose Oasis Dental Care – the best dental clinic in Chennai for reliable cavity treatment, tooth-colored composite fillings, and complete dental care solutions. #Pain-free dental filling Chennai #Tooth decay treatment Chennai #Dental care in Arumbakkam / Koyambedu Chennai