+918042754029
Currently it only shows your basic business info. Start adding relevant business details such as description, images and products or services to gain your customers attention by using Boost 360 android app / iOS App / web portal.

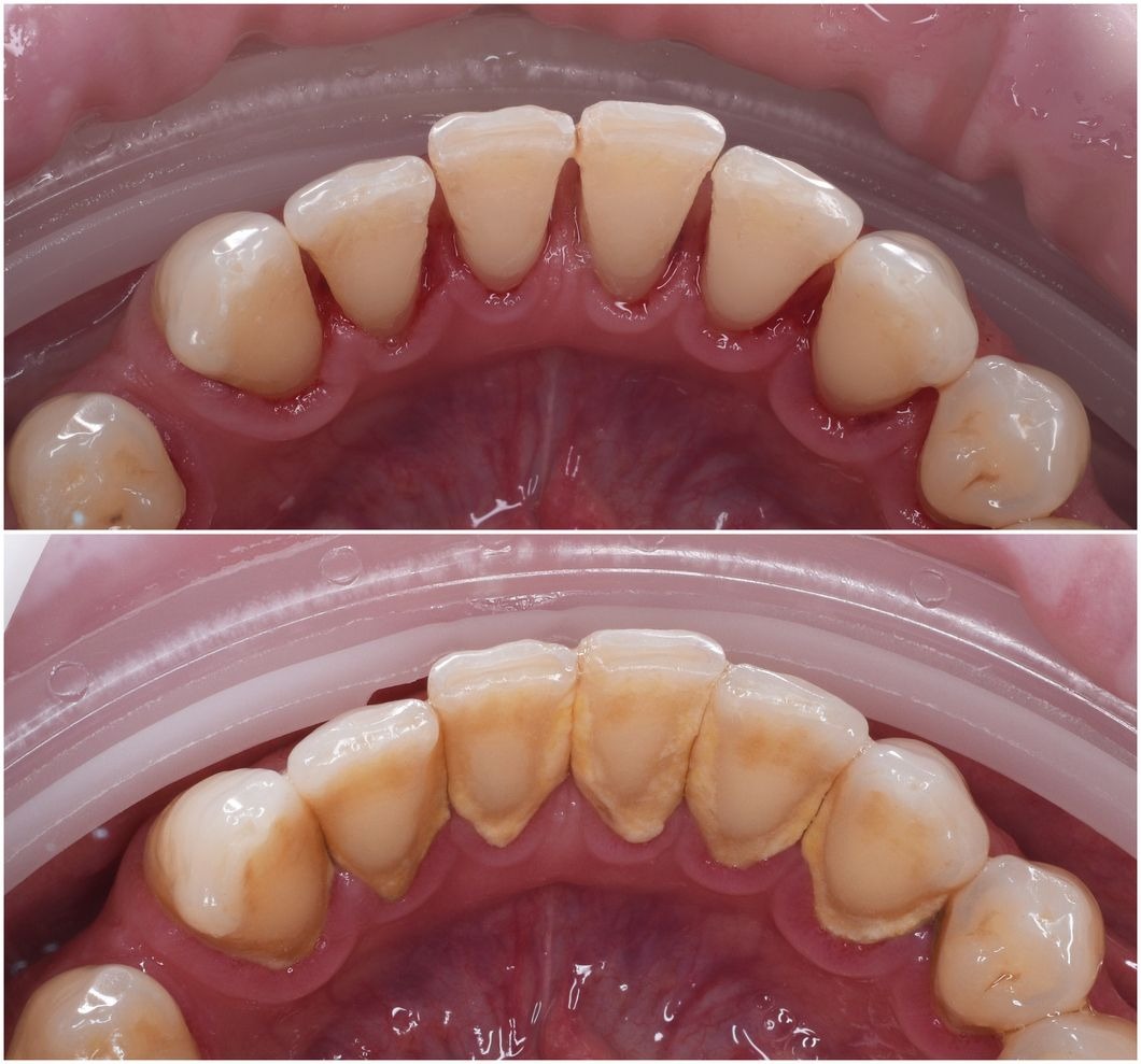
Teeth cleaning, also known as scaling and polishing, is a professional dental procedure that removes plaque, tartar, and stains from teeth. It helps prevent gum disease, bad breath, and tooth decay while improving overall oral hygiene. Regular teeth cleaning every six months keeps your gums healthy and your smile bright. The procedure is safe, painless, and essential for maintaining long-term dental health. It also helps in early detection of dental issues, saving future treatment costs. Clean teeth boost confidence and ensure fresh breath, making it an important part of preventive dental care. #teeth cleaning, #dental scaling, #teeth polishing, #remove tartar, #gum care treatment, #oral hygiene, #bad breath treatment, #dentist near me, #affordable teeth cleaning, #dental clinic services